Cabinet d'Orthodontie à Champigny-sur-Marne (94) -
Dr Delphine BONY
Chirurgien Dentiste Spécialiste Qualifiée en Orthopédie Dento Faciale
Cabinet d'Orthodontie à Champigny-sur-Marne (94) -
Dr Delphine BONY

39 Avenue du General de Gaulle
94500 CHAMPIGNY SUR MARNE
France

+33 1 49 83 99 82

Chirurgien Dentiste Spécialiste Qualifiée en Orthopédie Dento Faciale

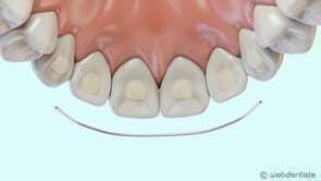
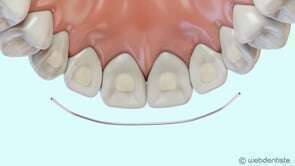
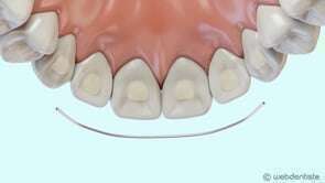
Fil de contention


video-play-icon